So today we got to go in and find out what sex baby is so that we can stop calling it an "it".
The exciting experience was sucked away by the intern lab tech because she didn't know what she was doing. She also had the TV screen facing her, so I was unable to see anything. She did say that baby was very active...I will have to take her word for it.
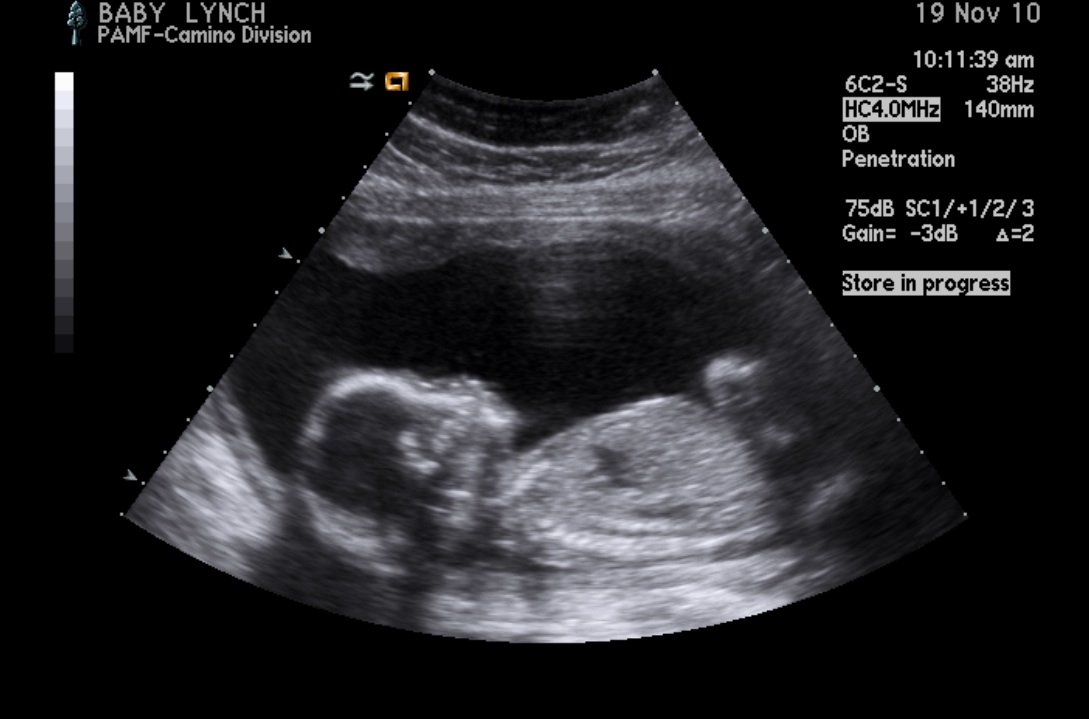
I ended up staring at the ceiling for 40 min until the professional came, took some pics and adjusted the TV screen so that I can see it.
So this little picture is the clearest one we have. At this time, baby was actually moving it's mouth as if it was talking.
OMG ARE YOU EXCITED!!!!!
So, for those of you that are big Sex and the City fans you can follow what I am saying. So while Miranda was pregnant, she said that everyone around her seemed a lot more excited than she was. I thought she was cold-hearted when I saw that episode. Well, I now know what she is going through. It's not that I am not excited, it's just hard to feel a connection at this point in time.
Obviously with my body constantly changing, I do know that a baby is in there, but if it wasn't for the ultrasounds, I would have no clue because I don't feel any movement. So a lot of people around me are ecstatic with joy and ask me if I am excited and I try really hard to fake my extreme enthusiasm.
I know it will change the later I get into my pregnancy because by then, I should feel baby kicking. Again, it's not that I am not excited, it's because I don't really feel anything.
Male Personal Trainers
So Monday was the last day I was with the trainer..and thank goodness it was my last. I am sure he is a very good trainer for non-pregnant people, but since he's a guy and never gave birth..he has NO IDEA what I am going through.
He worked me as hard as he would a normal person. I was panting and sweating so hard that I was too tired to do anything the next day. Listen, I like to get tone like the next person, but I am pregnant and kinda want and need to take it easy. I thought that I would be benefiting from his workouts, but instead it made me hate the gym even more.

No comments:
Post a Comment